GREETING
私が歯科治療にあたり、まず念頭におく事は、
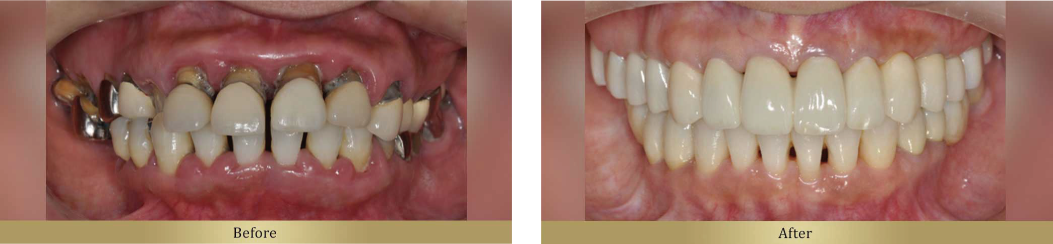
徹底した歯周治療を行い、歯周組織の健康を取り戻すことにあります。
歯科治療において、どのような治療を行う時も、
まず初期治療といわれる基本治療が行われなければなりません。
その中でも、口腔清掃指導から始まる歯周治療が大変重要です。
豪華な家を建てたとしても、基礎工事がしっかりしていなければ、
砂上の楼閣の如く早期に朽ち果ててしまいます。
歯やインプラントも同様に、その基礎となるところは歯周組織であり、
この歯周組織を健全に保つことは、歯そしてインプラントを健全に保つことです。
歯科治療の真・善・美の基本となるところは、正に歯周治療にあります。
そして、私が診療方針として一番に大切にしていることも、歯周治療なのです。
歯周病治療と歯科インプラントの
専門医院として
皆様のお役に立てることを願って
Cleanliness makes beautiful
歯周病は自覚症状がほとんどなく進行し、全身疾患の原因にもなる病気です。
当院では基本治療から高度な治療まで、歯周病治療を徹底して行います。
また、歯を失ってしまった場合でも、精密なインプラント治療を実施し、
天然歯に近い噛み合わせと美しさを取り戻します。







